В мозге здорового человека могут жить черви-паразиты и вызывать припадки
Три года назад 38-летний житель Бостона (США) крепко спал рядом со своей женой и внезапно упал на пол в конвульсиях. Он произносил бессмысленные слова и явно не понимал, что с ним происходит. Семья вызвала скорую помощь и врачи с ужасом обнаружили в его рту кровь — к счастью, он просто прикусил язык. Случай оказался очень странным, потому что при дальнейшем осмотре мужчины не были найдены признаки хронических заболеваний, способных вызвать приступы. Некоторое время мужчина подавлял симптомы при помощи успокаивающих лекарств, но потом врачи нашли источник его проблем. Оказалось, что в годы проживания в сельской местности, в его головной мозг проник опасный для всех животных паразитический червь.

Ленточные черви могут проникнуть в кровоток человека и дойти до головного мозга
Содержание
Опасность свиных цепней
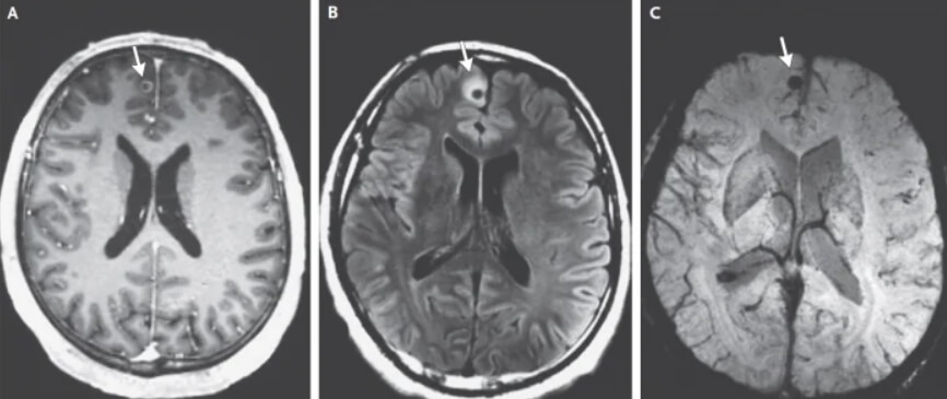
По данным издания Science Alert, найти причину припадков у мужчины удалось только после изучения его биографии. Оказалось, что примерно 20 лет назад он жил в одной из сельских местностей Гватемалы. На снимках его головного мозга врачи обнаружили несколько кист — так называются полости в тканях или органах, которые имеют стенки и содержимое. В ходе дальнейшего изучения оказалось, что эти образования остались в результате жизнедеятельности паразитических свиных цепней (Taenia solium).

Свиной цепень под микроскопом
Свиные цепни — это белые ленточные черви, которые проникают в организмы свиней, собак, людей и других млекопитающих. Они цепляются за стенки кишечника при помощи десятков маленьких крючков и крадут у своих жертв питательные вещества. За счет этого они могут вырастать до 8 метров и активно размножаться. Черви могут откладывать яйца, которые вместе с фекалиями «хозяина» попадают во внешнюю среду. После этого они живут около двух месяцев и на протяжении двух месяцев ждут, когда их случайно кто-то съест. В противном случае они погибают.

Как правило, паразитическими червями заражаются через фекалии или зараженное мясо свиней
Заражение свиным цепнем
Люди и животные обычно заражаются свиным цепнем, когда едят зараженное мясо. Так как ленточные черви попадают в организмы на стадии личинки, у них не возникает проблем с проникновением в кровоток. При помощи кровеносной системы крошечные паразиты стараются попасть в мышцы своей жертвы, потому что они являются главными источниками питательных веществ. Иногда паразитов заносит в самые неожиданные уголки организма — они могут оказаться даже в головном мозге. Именно это и случилось с американцем, который внезапно начал испытывать приступы.

Электронная микрофотография свиного цепня
Важно: чтобы не заразиться свиным цепнем, нужно тщательно мыть руки и употреблять в пищу только тщательно приготовленные продукты.
Что такое нейроцистицеркоз?
Если говорить по-научному, мужчина пострадал от нейроцистицеркоза. Так называется болезнь, которая возникает при заражении человека свиным цепнем. Считается, что это заболевание угрожает здоровью миллионов людей по всему миру. В некоторых источниках говорится, что из-за свиных цепней ежегодно умирает по 50 000 человек, а выжившие остаются инвалидами на всю жизнь. Оказавшиеся в головном мозге личинки вызвали у мужчины эпилепсию, потому что давили на его некоторые области.

Пораженные участки мозга 38-летнего мужчины
Подробнее о нейроцистицеркозе я писал в этом материале
Лечение от свиного цепня
Скорее всего, мужчина заразился червями в сельской местности, съев зараженное мясо животного. Несмотря на распространенность нейроцистицеркоза, разработкой лекарства против опасного заболевания никто не занимается. Нейроцистицеркоз проявляется разными симптомами, потому что кисты от свиных цепней могут образоваться в любом отделе мозга. По данным научного журнала American Journal of Tropical Medicine and Hygiene, однажды 25-летней австралийке потребовалась операция на мозге, чтобы удалить проблемные образования. Они приводили к головным болям и помутнению зрения.

Чтобы не заразиться свиным цепнем, нужно тщательно мыть руки
Что касается мужчины из Бостона, его лечили лекарствами против воспалений, судорог и паразитов. Он был выписан из больницы через 5 дней и симптомы не возникают у него уже третий год. Однако, по словам врача Эндрю Коула (Andrew Cole), мужчине все равно придется принимать лекарства против судорог. А все потому, что повреждения после кисты никуда не денутся и смогут приводить к припадкам.
Ссылки на интересные статьи, смешные мемы и много другой интересной информации можно найти на нашем телеграм-канале. Подпишитесь!
Эта тема может показаться очень мерзкой — некоторым лучше почитать статьи про космос. Но вообще, такие истории показывают, насколько удивительна и опасна окружающая нас среда. В некоторых случаях паразитические черви могут появиться даже в человеческих глазах. Об одном из таких медицинских случаев я рассказывал в этом материале.



Новости, статьи и анонсы публикаций
Чат с читателямиСвободное общение и обсуждение материалов