Ученые создали гель для заживления ран кишечника
Воспалительные заболевания кишечника являются одной из самых распространенных патологий на нашей планете. Согласно данным официальной статистики, несколько миллиардов человек имеют те или иные проблемы с кишечником, включая болезнь Крона, язвенный колит, воспаление двенадцатиперстной кишки и так далее. Как сообщают ученые из Гарвардского университета, лишь в США в год регистрируется около 70000 новых случаев воспалительных заболеваний кишечника. Однако исправить ситуацию призвано новое средство, гель, который отделяет проблемную зону от агрессивной среды кишечника, способствуя регенерации тканей.

Новый препарат защитит кишечник и вылечит воспалительные заболевания
От чего образуются воспалительные заболевания кишечника
Точные причины самых распространенных болезней подобного рода до сих пор плохо изучены, но считается, что ведущую роль в этом процессе играет неправильная работа иммунной системы. Воспалительные поражения разрушают эпителиальные клетки, которые функционируют как барьер. Эта потеря барьерной функции приводит к, своего рода, циклу: воспаление провоцирует еще большее разрушение барьера, а разрушение барьера ведет к прогрессированию воспаления.
Новый гель, созданный учеными из Гарвардского университета, помогает поддерживать барьерную функцию кишечника даже при наличии воспалительных поражений. Эксперименты на животных показали, что препарат, подобно пластырю, закрывает раны кишечника и способствует заживлению слизистой оболочки. При этом существующие методы терапии подобных состояний обходятся дорого и не всегда эффективны. Например, стандартом на сегодня считается применение противовоспалительных препаратов и антибиотиков, которые будут бороться с инфекциями, что часто являются «спутниками» подобных поражений. Но противовоспалительные препараты могут иметь серьезные побочные эффекты на весь организм в целом, а антибиотики способны уничтожать существующую полезную микрофлору, от которой также зависит множество функций — от пищеварения до выработки некоторых витаминов.
Читайте также: Разнообразие кишечной микрофлоры может быть секретом здоровой жизни в пожилом возрасте
Но исследовательская группа из Гарвардского Университета под руководством доктора Нила Джоши разработала новый подход. Уже упомянутый гель имеет в своем составе штамм генетически модифицированных кишечных бактерий E. coli. Их уникальность заключается в том, что они производят сеть нановолокон, которая непосредственно связывается с кишечной слизью для того, чтобы заполнить воспаленные участки, защищая их от кишечных микробов и факторов агрессивной кишечной среды.
С помощью нашего подхода «бактериальной терапии» мы создали уникальные биоматериалы, которые вырабатываются особыми бактериями и прикрепляются к стенкам кишечника, одновременно прочно прилипая к вязкому и движущемуся слою слизи. Это является сложной задачей. Мы назвали такой метод The Probiotic Associated Therapeutic Curli Hybrids (PATCH). – говорят авторы работы.

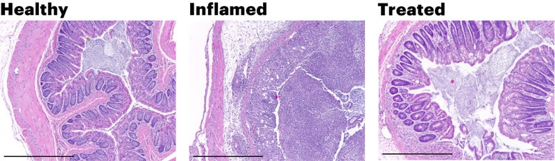
Слева направо: здоровая ткань кишечника, кишечник в стадии воспаления и кишечник после применения нового препарата
Для того, чтобы создать уникальный гель, команда ученых запрограммировала лабораторный штамм E. coli для синтеза и секреции модифицированного белка CsgA. Он и обладает нужными свойствами, но проблема в том, он начинает действовать только в среде кишечника. Поэтому его нужно вырабатывать «на месте». Для этого в новый препарат и включен генетически модифицированный штамм бактерий. О новых технологиях в сфере медицины и не только мы регулярно сообщаем на нашей страничке в Яндекс.Дзен. Так что обязательно подписывайтесь.
При этом в ходе исследований мы обнаружили, что бактерии даже при примеме через рот также заселяются и обитают в кишечном тракте, поэтому препарат будет крайне удобен для пациентов.
Ученые считают, что их подход может быть использован в качестве сопутствующего метода терапии. Который можно применять в дополнение к существующим противовоспалительным и антибактериальным методам, а также схемам лечения, при которых снижается активность иммунной системы (которая, как уже упоминалось, считается ведущим фактором в развитии воспаления). В этом случае дополнительная защита кишечника гелем приходится как нельзя кстати.



Новости, статьи и анонсы публикаций
Чат с читателямиСвободное общение и обсуждение материалов