Кто такие психопаты? И чем они отличаются от других? Массовая культура изображает психопатов хладнокровными убийцами или крайне жестокими людьми. Считается, что психопатам свойственна сниженная способность к эгоцентризму и состраданию, а также поверхностность эмоциональных реакций. Выходит, такие люди избавлены от чувства вины и как правило являются отличными манипуляторами. Интересно, что их антисоциальное, импульсивное и бессердечное поведение долгое время считалась психическим расстройством, а многие из определяющих признаков психопатии подпадают под диагностические критерии антисоциального расстройства личности в психиатрии. Авторы нового исследования, однако, готовы оспорить ранние предположения, полагая, что речь идет не только о психическом расстройстве – все намного сложнее.

Новый метаанализ предполагает, что психопатия не является психическим расстройством
Кто такие психопаты
Считается, что люди с диагнозом психопатия импульсивны и крайне эмоциональны. Нередко они злоупотребляют психоактивными веществами и чаще чем другие попадают в тюрьму. Профессор Джозеф Ньюман из Висконсинского университета отмечает, что склонность к насилию среди психопатов выше, к тому же они чаще совершают антиобщественные действия, например лгут или прибегают к насилию.
Исследователи из клиники Майо описывают психопатию как расстройство личности, при котором человек не видит разницы между плохим и хорошим, вследствие чего легко нарушает закон и права других людей. Кажется, запретов для них не существует, а поддерживать отношения с психопатом невероятно трудно.
Психопатия – это расстройство личности, характеризующееся стойким антисоциальным поведением, нарушением эмпатии и эгоистичными чертами характера.

Психопаты не умеют сочувствовать
Пытаясь понять причину психопатии, исследователи полагают, что корень проблем скрывается в раннем детстве. Дети, которые рано проявляют отсутствие страха и безразличие к сверстникам подвержены наибольшему риску. Среди основных критериев психопатии выделяют следующие:
- Отсутствие сочувствия, чувства вины или раскаяния
- Поверхностное переживание чувств или эмоций
- Импульсивность и отсутствие контроля над собственным поведением
- Поверхностное обаяние и чувство собственной значимости
- Патологическая лживость (не все психопаты патологические лжецы, но все патологические лжецы – психопаты)
Согласно результатам одного интересного исследования, опубликованного в журнале Appetite, у людей с психопатией присутствуют черты личности, связанные с пристрастием к еде и напиткам с горьким вкусом.
Еще больше интересных статей читайте на нашем канале в Яндекс.Дзен, там регулярно выходят статьи, которых нет на сайте
Подобные вкусовые предпочтения также связаны с так называемой «темной триадой» (об этом чуть ниже), которая включает психопатию, нарциссизм и садизм. Более того, любители сладкого, острого и соленого оказались более сговорчивы, отзывчивы и склонны к сотрудничеству.
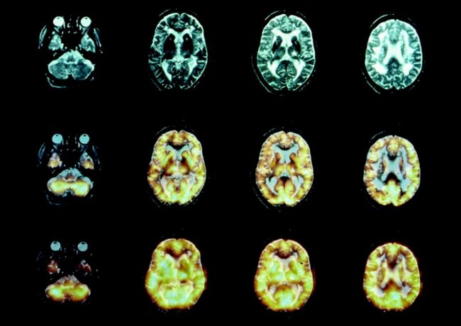
Во всем виноват мозг?
Результаты исследования специалистов из Гарвардского университета показали, что активность мозга у людей с психопатией отличается от тех, кто этим недугом не страдает. Эти выводы подтверждают их финские коллеги: структура и функции областей мозга, участвующих в эмоциях и их регуляции, изменяются как у психопатов, так и у других людей, личностные черты которых связаны с психопатией.
Изучив структуру и функции мозга у заключенных-психопатов с помощью МРТ и сравнив их с результатами здоровых добровольцев, ученые пришли к выводу, что у преступников-психопатов плотность областей мозга, участвующих в когнитивном контроле и регуляции эмоций, нарушена.

Мозг психопата работает иначе, чем у обычных людей
Чем больше психопатических характеристик наблюдается у человека, тем больше его мозг напоминает мозг преступников, – объясняет профессор Лаури Нумменмаа из Университета Турку, Финляндия.
Структурные и функциональные изменения в мозге психопатов сосредоточены в областях, связанных с эмоциями и их регуляцией. В частности, у психопатов наблюдается меньшая активность миндалевидного тела – области мозга, ответственной за страх, а также в орбитофронтальной коре и областях, ответственных за принятие решений.
Читайте также: Как распознать в ребенке психопата — 5 характерных черт
Полученные результаты также помогают понять биологические механизмы, лежащие в основе насилия, и позволяют планировать новые и более эффективные методы лечения агрессии и антисоциального поведения. И тут возникает важный вопрос – действительно ли психопатия – болезнь?
Болезнь или адаптация
В недавней статье, опубликованной в журнале Frontiers in Evolution Psychology, психопатию связывают с кумовством – это означает, что как таковым расстройством психопатия не является. В своей работе исследователи делают интересный (и спорный) вывод: психопатия – это эволюционно обоснованная жизненная стратегия.
В подтверждение своих слов ученые указывают на одну интересную особенность поведения: преступники-психопаты не склонны вредить членам своей семьи. Более того, согласно эволюционной теории психопаты с большей вероятностью будут проявлять агрессию против незнакомцев и коллег по сравнению с романтическими отношениями или членами семьи.

Быть психопатом не означает быть убийцей, и наоборот.
Мы утверждаем: вывод о том, что насильственные преступники-психопаты чаще попадают в тюрьму за преступления против незнакомцев, не обязательно означает, что они не преследуют своих родственников. Так, родственники преступников-психопатов нередко сообщают о психологическом, эмоциональном, финансовом и физическом насилии.
Как показали результаты ранее проведенных исследований, психопатические личности действительно готовы помогать членам семьи, но лишь с одним условием: если им будет это выгодно. Таким образом психопатию можно рассматривать не как расстройство психики, а эволюционное преимущество – «Любая «польза» психопатии заключается исключительно в сохранении генов».
Это интересно: Что науке известно о психопатах?
Если ученые правы, то психопатия может возникнуть частично из-за социального доминирования. Именно последнее дарит таким людям адаптивное преимущество. Так, кумовство и другое «посоциальнее поведение» проявляемое психопатическими индивидами, скорее всего, является доминированием.

Психопатию у ребенка можно выявить начиная с трехлетнего возраста
Психопатия может сохраняться в популяции из-за ее связи с доминированием, поскольку она представляет собой стратегию социальной эксплуатации, поддерживаемую отрицательным частотно-зависимым отбором, – пишут авторы исследования.
Полученные результаты, однако, требуют дополнительных исследований, а авторы работы по-прежнему называют психопатию расстройством, но не исключают ее возможного адаптивного преимущества.
Читайте также: Как распознать в ребенке психопата — 5 характерных черт
Темная триада
Чужая душа – потемки. Особенно когда дело касается психопатии, нарциссизма и макиавеллизма. Эти три особенности личности ученые называют «темной триадой», указывая на их неспособность к сочувствию и состраданию (эмпатии). Но разберем подробнее:
- Макиавеллизм берет свое начало в трудах Никколо Макиавелли, писателя эпохи Возрождения, историка и философа. Он описал силовые игры, связанные с обманом, предательством и преступлениями. Таким образом, макиавеллизм относится к эксплуататорской, циничной и манипулятивной природе личности.
- Нарциссизм характеризуется преувеличенным чувством собственного достоинства, превосходства и мышления, в то время как садизм означает стремление причинять боль другим и наслаждаться ею.
- Темные черты характера, особенно психопатия и макиавеллизм, неизменно ассоциируются с агрессивным и антисоциальным поведением.

результаты сразу нескольких научных исследований показывают, что 1 из 100 человек – психопаты
По мнению многих специалистов, люди с темными чертами характера причиняют боль другим или сталкиваются с трудностями в отношениях, по причине отсутствие эмпатии. Интересно, что последнюю можно разделить на три категории: когнитивную (описывает интеллектуальное понимание чужих чувств, не ощущая их); аффективную и сострадательную – то есть комбинацию когнитивной и эмоциональной эмпатии.
Вам будет интересно: Сколько психопатов живет на Земле и опасны ли они?
Но существует еще одна черта темной триады – так называемая «темная эмпатия». Эта дополнительная особенность означает, что таким людям проще манипулировать окружающими. И если чужие страдания доставляют им удовольствие, значит понимать окружающих они все-таки могут.
Так, темный эмпат, подобравшись ближе, в результате способен причинить вам больше вреда, что делает таких людей самыми опасными из всех, – пишут авторы научной работы.
Но чтобы внести ясность раз и навсегда, требуется больше исследований. К счастью, этим ученые уже занимаются, а мы с вами уже обладаем знаниями чтобы определить представителей темной триады, а значит, и защититься от них и их манипуляций.



Новости, статьи и анонсы публикаций
Чат с читателямиСвободное общение и обсуждение материалов