Можно по разному относиться к увеличению груди. Одни считают это обычным явлением, а кто-то категорически против искусственного вмешательства в наше тело, ради косметического изменения. Я считаю, что это дело каждого. Каждый сам волен выбирать, что делать со своим телом. Но иногда случаются довольно курьезные ситуации, которые никак нельзя интерпретировать в качестве аргумента в ту или иную сторону. Тем не менее грудной имплантат женщины из Канады спас ей жизнь, изменив траекторию движения пули, которая попала в грудь с близкого расстояния. Об этом на прошлой неделе было опубликовано исследование в медицинском журнале SAGE.

Так выглядит силиконовый имплантат
История произошла в 2018 году в канадском городе Торонто. Вообще, подобных историй за всю историю существования грудных имплантатов не так уж и много описано в медицинской литературе, но этот случай стал первым.
Какие силиконовые имплантаты бывают
Есть два типа грудных имплантатов. Они оба имеют силиконовую внешнюю оболочку, но один заполнен физиологическим раствором, а другой силиконовым гелем. Они могут различаться по размеру, толщине оболочки, текстуре и форме поверхности оболочки и, как правило, имплантируются для увеличения размера груди или восстановления ткани груди, например, после мастэктомии или других повреждений.
Мастэктомия - хирургическая операция по удалению молочной железы и малой или большой грудной мышцы (в некоторых случаях удаляют обе)
Сама история довольно загадочна и о деталях получения пулевого ранения не сообщается. Известно лишь то, что выстрел был произведен с близкого расстояния. Женщина самостоятельно обратилась в отделение скорой помощи и на удивление врачей выглядела очень неплохо, для того кто только что получил пулю в грудь, — заявил принявший ее хирург Джанкарло Макевеню.
Входное пулевое ранение было на левой стороне груди, но перелом ребра был на правой стороне. Пуля сначала вошла в кожу с левой стороны, а затем срикошетила через грудину в правую грудь и сломала ей ребро с правой стороны. Имплантат вызвал изменение траектории полета пули,
заявил врач

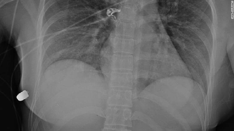
Рентгеновский снимок выжившей женщины от пулевого ранения
В итоге женщина получила повреждение имплантатов и сломанное ребро. Других повреждений при исследовании выявлено не было. Как мы знаем, с левой стороны у человека находится сердце и легкие. Если бы пуля не изменила траекторию движения — спасти женщину скорее всего бы не удалось.

Примерная траектория движения пули в силиконовом имплантате
Медики обнаружили твердый, похожий на пулю предмет в правой нижней передней грудной стенке ниже правой груди. С помощью рентгена определили, что это была пуля, а так же увидели сломанное ребро и пузырьки воздуха в левой груди, после чего и пришли к выводу, что пуля прошла от левой груди к правой грудной стенке.
После всех диагностических процедур медики промыли и обработали ей рану, удалили имплантаты и прописали короткий курс антибиотиков. Согласитесь, для огнестрельного ранения почти в упор можно сказать что отделалась легким испугом.
Удивительных историй подобных этой случается немало, но вы всегда их можете найти на нашем канале в Яндекс.Дзен
P.S. Будет ли пациентка ставить себе силиконовые имплантаты повторно не уточняется. Но что-то мне подсказывает, что если не будет медицинских противопоказаний, то после таких событий они вернутся на место. Правда подобные операции не всегда безопасны, о чем не так давно писал мой коллега Рамис Ганиев.



Новости, статьи и анонсы публикаций
Чат с читателямиСвободное общение и обсуждение материалов