Неважно насколько медицина продвинулась вперед и насколько качественно проводятся операции по пересадке необходимых человеку новых органов. Проблема заключается в том, что нередко пересаженные органы просто отторгаются человеческим организмом. Серьезно задумавшись над решением этого вопроса, ученые из Университета Вашингтона создали специальный синтетический биоматериал, который, как они заявляют, исключает риск отторжения пересаженной ткани иммунной системой.

Чаще всего в таких случаях новый пересаженный орган воспринимается человеческим организмом как инородный предмет. Иммунная система старается изолировать это инородное тело и создает вокруг него толстый слой коллагена (соединительной ткани). Поэтому нередко происходит так, что, например, пересаженный искусственный сердечный клапан или электрод буквально блокируются организмом человека и не могут правильно функционировать.
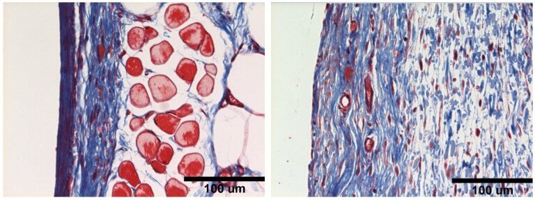
Группа исследователей под руководством Бадди Ратнера и Шаои Цзян разработали специальный гидрогель, который позволяет имплантату становиться «невидимым» для иммунной системы. Этот гель состоит из специального полимера с положительным и отрицательным зарядом, что в буквальном смысле не дает протеину (коллагену в данном случае) его обволакивать и тем самым изолировать.
В лабораторных испытаниях этот гидрогель был проверен на мышах. Спустя три месяца после пересадки имплантатов вокруг них не образовалось никаких коллагеновых капсул. В случае с человеческим организмом, коллагеновые капсулы обычно могут образовываться в течение первых нескольких недель после пересадки. Если в течение этого время они не начинают образовываться, то отторжение вероятнее всего уже и не начнется.
«Ученые уже не раз пытались найти подходящий материал для этих целей, но это, пожалуй, первый случай удачного применения непористой синтетической субстанции, которая смогла защитить имплантат от формирования вокруг него коллагеновых капсул. Все это впоследствии поможет увеличить вероятность положительного результата при пересадке искусственных органов и специальных медицинских устройств», — говорит доктор Цзян.



Новости, статьи и анонсы публикаций
Чат с читателямиСвободное общение и обсуждение материалов