Краткая история нашего стремления заглянуть под крышку черепа
Что происходит внутри нашего черепа? Благодаря сканерам мозга и другим высокотехнологичным методам, у нас есть технологии, которые позволяют заглянуть прямо в мозг. Но так было не всегда. Люди пытались понять работу нашего таинственного серого вещества самыми разными способами на протяжении последних нескольких столетий. Как именно — нам расскажут эксперты из Музея наук в Лондоне, расскажут о способах и технологиях, которые применяли раньше в попытках понять мозг. Также им помогут ученые, специализирующиеся в сканировании мозга, они же расскажут нам о том, какими могут стать эти технологии далее.

Френология
История начинается с коллекции из десятков крошечных керамических голов — всех различных форм и размеров — которые хранятся в Музее наук.
Куратор музея Кэти Дабин объясняет, что они были созданы практиками лженауки под названием френология, которую когда-то называли «наукой о разуме». В конце 18 века считалось, что форма черепа человека может рассказать о его личности и психическом состоянии.

Идея заключалась в том, что путем измерения различных выступов и впадин на черепе френологи могли получить представление о внутренней работе умов своих пациентов.
«Люди щупали и измеряли внешние контуры вашего черепа, пытаясь выяснить, что вы за человек и каково ваше психическое состояние», — объясняет Дабин. У каждой керамической головы своя история. Достались они их собирателю Уильяму Болли очень нелегко. Некоторые принесли индивиды, которые хотели узнать о своих «френологических очертаниях», другие были получены из гипсовых слепков трупов. Он получил доступ к целому ряду лиц. Болли вроде бы хвастался, что снял формы голов 600 преступников, в том числе воров и убийц.
К 1840-м годам, спустя 50 лет после ее представления, френология была дискредитирована как наука. Просто прошла мода на нее.
Вместо этого ученые сосредоточились на изучении пациентов с ограниченными способностями в реальной жизни. Идея заключалась в том, что различные части мозга отвечают за разные вещи, стала распространенной благодаря первым ученым мозга вроде Поля Брока. Он понял, что отдельная часть мозга двух из его пациентов приводила к их неспособности говорить.

Таким образом, хотя френология была дискредитирована, идея того, что отдельные области мозга могут вызывать определенное поведение, никуда не девалась. Но это не приблизило нас к зрелищу актуальной работы мозга ни на йоту. И только в 1920-х годах ученые научились считывать электрические сигналы мозга. Они впервые взглянули на электрическую активность, которая происходит в мозге живого существа, благодаря технике электроэнцефалографии (ЭЭГ).
Первоначально у нее были весьма странные применения, вроде оценки супружеской совместимости пары или изучения мозгов преступников. Но чаще ее использовали для понимания активности мозга пациентов с эпилепсией, для отслеживания того, что происходит во время припадка.

Поначалу методы были весьма инвазивными. Машины ЭЭГ использовали как для считывания сигналов мозга, так и для стимуляции мозга электричеством. Но одних сигналов мозга было недостаточно, чтобы нарисовать картину мозга. Нужно было что-то новое.

В 1970-х годах Годфри Хаунсфилд, инженер фирмы EMI — более известной как дом лейбла The Beatles — нашел способ заглянуть в мозг с помощью рентгеновских лучей, более известный как КТ-сканер. Отчасти миллионы, заработанные «битлами», помогли создать эту технологию (хотя некоторые утверждают, что КТ-сканер сделал куда больший вклад).
В Музее наук хранится один из первых в мире КТ-сканеров. Он довольно большой.
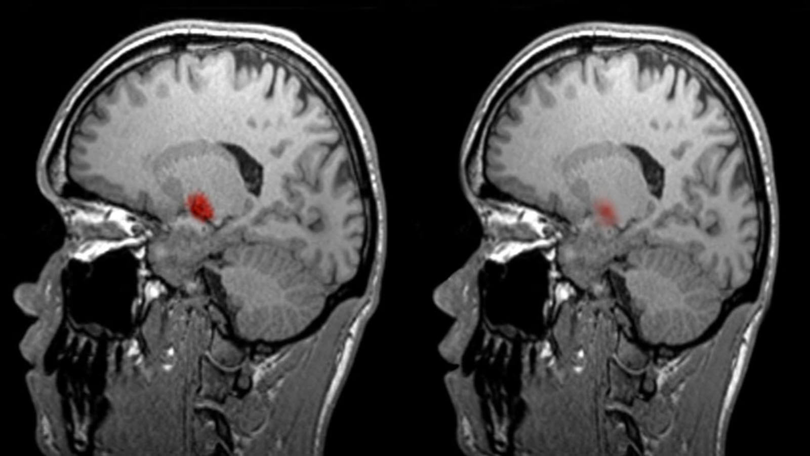
Сегодня новейшая технология для сканирования мозга называется функциональной магнитно-резонансной томографией, или фМРТ. Корреспондент BBC встретился с неврологом Джо Девлином из Университетского колледжа в Лондоне, где получил возможность отсканировать мозг с объяснениями.
На что обратил бы внимание невролог вроде Джо Девлина, так это изменение кислорода в мозгу в действии. Если определенная часть мозга участвует в выполнении определенной задачи, скажем, языковой или словесной, эта область испытывает увеличение кровотока, который она использует ради энергии. Сканер фМРТ контролирует этот поток крови.

«Мы можем увидеть части мозга, которые загораются, когда вы выполняете эту задачу», — говорит Девлин. К примеру, если активно думать о том, что сказать, по сравнению с простым счетом — монотонной задачей, которая не требует особых умственных усилий, — становятся активными разные области мозга.
В то время как это дает понимание тех областей мозга, которые участвуют в актуальном деле, это даже близко не похоже на то, что фМРТ читает мысли человека.
И все же сканирование вроде этого уже произвело революцию в нашем понимании мозга. «Так сложилось, что у нас были пациенты с повреждениями мозга, и мы могли увидеть, где именно был поврежден мозг и что с пациентом не так», — говорит Девлин.
Однако сканирование позволяет ученым заглянуть и внутрь здорового мозга, чтобы отметить, как различные его части используются и соотносятся между собой.

Каким будет наше понимание мозга в будущем?
ЭЭГ и КТ-сканирование активно используются и сегодня и будут использоваться в обозримом будущем. Врачи используют КТ-сканирование во многих лечебных учреждениях. ЭЭГ-машины, в свою очередь, используются и для научных экспериментов. К примеру, ученые изучают, как неинвазивная электрическая стимуляция мозга может облегчить симптомы болезни Паркинсона или депрессии.
Будут ли будущие поколения смотреть на наши попытки разгадать секреты мозга так же, как мы на френологию? Возможно. Но что понятно наверняка, так это то, что мы никогда не прекратим попытки раскрыть секреты серого вещества внутри наших черепушек.



Новости, статьи и анонсы публикаций
Чат с читателямиСвободное общение и обсуждение материалов