Ну что, готовы к новой порции ужасов про COVID-19? Результаты нового исследования показали, что мозг людей, умерших от коронавируса, удивительно похож на мозг тех, кто умер от нейродегенеративных заболеваний, таких как болезнь Альцгеймера и Паркинсона. Правда, выборка небольшая – в ходе исследования были изучены образцы мозговой ткани восьми человек. Вот что пишут авторы научной работы: «Мозг пациентов, умерших от тяжелого COVID-19, показал глубокие молекулярные маркеры воспаления, хотя у этих пациентов не было никаких клинических признаков неврологических нарушений». Команда также проанализировала 14 образцов мозговой ткани людей, умерших от других причин. Между тем, около трети пациентов, госпитализированных с COVID-19 сообщают о неврологических симптомах, таких как нечеткое мышление, забывчивость, трудности с концентрацией внимания и депрессия. Эти проблемы могут сохраняться как часть так называемого «длительного ковида» – затяжного состояния, которое иногда поражает пациентов после выздоровления.

Выжившие после COVID-19 могут страдать от потери серого вещества и других тканей мозга с течением времени
Последствия COVID-19
С того момента, как первые случаи новой коронавирусной инфекции были выявлены в Ухане, прошло полтора года. И за это время изменилось многое, включая и SARS-CoV-2 – он стал более заразным и свирепым. Об этом свидетельствуют результаты научных исследований. Так, новый вариант коронавируса «Дельта» является более трансмиссивным, а его симптомы значительно отличаются от тех, что были у уханьского штамма.
Сегодня подавляющее большинство пациентов с COVID-19 сообщают о боли в горле, насморке и головной боли. Интересно, что кашель в клинической картине присутствует значительно реже, а такие симптомы как потеря обоняния или вкуса, по-видимому, удел прошлого. Что же до последствий перенесенного коронавируса, то перечень их также разнообразен – от «затяжного ковида» до потери зрения или слуха.

Перенесенный ковид чреват серьезными последствиями для здоровья.
Читайте также: Всё плохо. В Индии обнаружили еще одну мутацию COVID-19 — «Дельта плюс»
Немного расскажу о последних, так как данные несколько шокирующие: согласно результатам сразу нескольких научных исследований, COVID-19 привел к тому, что миллионы человек столкнулись с угрозой полной или частичной потери слуха. Интересно и то, что зафиксированы случаи резкой потери слуха после вакцинации – такие данные приводит Университет Джона Хопкинса.
Со зрением происходит нечто похожее – в редких случаях COVID-19 приводит к серьезным проблемам. Как пишет Live Science со ссылкой на исследование, ранее коронавирус связали с такими симптомами как конъюнктивит и повреждение сетчатки (ретинопатия). Отмечу, что наличие подобных симптомов преимущественно наблюдается у тяжелых пациентов, а также требует неотложной медицинской помощи.
Хотите всегда быть в курсе последних новостей из мира науки и высоких технологий? Подписывайтесь на наш новостной канал в Telegram чтобы не пропустить ничего интересного!
Как COVID-19 влияет на мозг?
О том, что коронавирус оказывает разрушительное влияние на мозг известно относительно недавно: результаты научных исследований показали, что SARS-CoV-2 повреждает мозг, вызывая головные боли, инсульты и судороги. Так, согласно исследованию, опубликованному в журнале New England Journal of Medicine, у пациентов с подтвержденным COVID-19 наблюдались неврологические симптомы (неврологические нарушения, спутанность сознания). Эту тенденцию выявили еще в Ухане, в самом начале пандемии.
С появлением новых вариантов коронавируса ситуация усложнилась. Новое исследование, основанное на данных, собранных Британским биобанком, предполагает, что перенесшие COVID-19 люди могут страдать от потери серого вещества в мозге с течением времени. Серое вещество является частью центральной нервной системы и, по сути, контролирует все функции мозга.

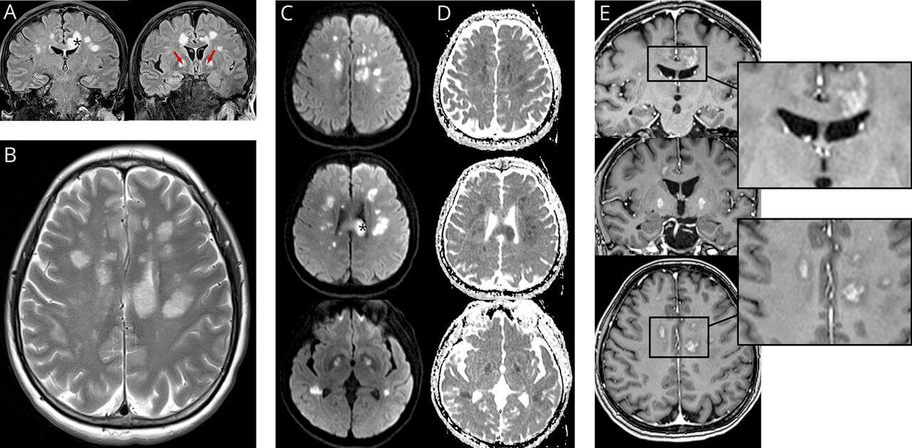
МРТ-скан мозга пациента с COVID-19. Данные исследования 2020 года, опубликованы в журнале Neurology
Авторы научной работы отмечают, что это первое исследование, в котором сравниваются снимки мозга как до, так и после того, как у испытуемого был диагностирован COVID-19. Потерю серого вещества исследователи обнаружили сразу в трех областях мозга.
«Полученные результаты последовательно связаны с потерей серого вещества в областях лимбической коры – областях мозга, связанных с восприятием вкусов и запахов».
В долгосрочном эксперименте, в котором приняли участие 782 добровольца, сравнивалось сканирование мозга людей до пандемии. Для аналогии между предпандемическим и постпандемическим сканированием мозга исследователи затем пригласили 394 перенесших COVID-19 вернуться для последующего сканирования, а также 388 здоровых добровольцев.
Вам будет интересно: Правда ли, что коронавирус повреждает ствол головного мозга?
Среди тех участников, которые выздоровели от COVID-19, исследователи увидели значительное влияние вируса на серое вещество, точнее на его потерю в трех областях мозга с течением времени. Серое вещество позволяет людям контролировать движение, память и эмоции, поэтому выявленная аномалия может оказать влияние на коммуникативные навыки и клетки мозга.

Новый коронавирус, согласно еще одному предположению ученых, способен вызвать опухоль мозга и ускорить развитие уже имеющейся.
Следует также отметить, что исследование еще не подверглось тщательной экспертной оценке и опубликовано на сервере препринтов. Работа, однако, предполагает, что потеря серого вещества в областях мозга, связанных с памятью, «может увеличить риск развития деменции у этих пациентов в долгосрочной перспективе».
Этот вывод следует за исследованием, опубликованным журналом Lancet Psychiatry journal в прошлом году, предполагающим, что серьезные инфекции COVID-19 могут повредить мозг, что приведет к долгосрочным осложнениям, таким как инсульт или симптомы, подобные деменции. Однако авторы отметили, что для адекватной оценки влияния COVID-19 на здоровье мозга необходимо больше данных.
Это интересно: Ученые выяснили почему некоторые люди верят в теории заговора о коронавирусе
Отмечу также, что большинство из тех, кто принимал участие в исследовании сообщили о легких или умеренных симптомах или не имели их вообще. Как сообщает Reuters, ученые также не могут подтвердить, является ли потеря серого вещества результатом распространения вируса в мозг или каким-либо другим эффектом болезни.
Коронавирус и дегенеративные заболевания
Результаты еще одного исследования также заставляют содрогнуться – проанализировав мозговую ткань восьми пациентов, умерших от COVID-19 исследователи увидели сходство с мозгом людей, которые умерли от нейродегенеративных заболеваний, таких как болезнь Альцгеймера и Паркинсона.
«Мозг пациентов, умерших от тяжелого COVID-19, показал глубокие молекулярные маркеры воспаления, хотя у этих пациентов не было никаких клинических признаков неврологических нарушений», – слова соавтора исследования Тони Висс-Корай, профессора неврологии и неврологических наук в Стэнфордском университете приводит medicalexpress.

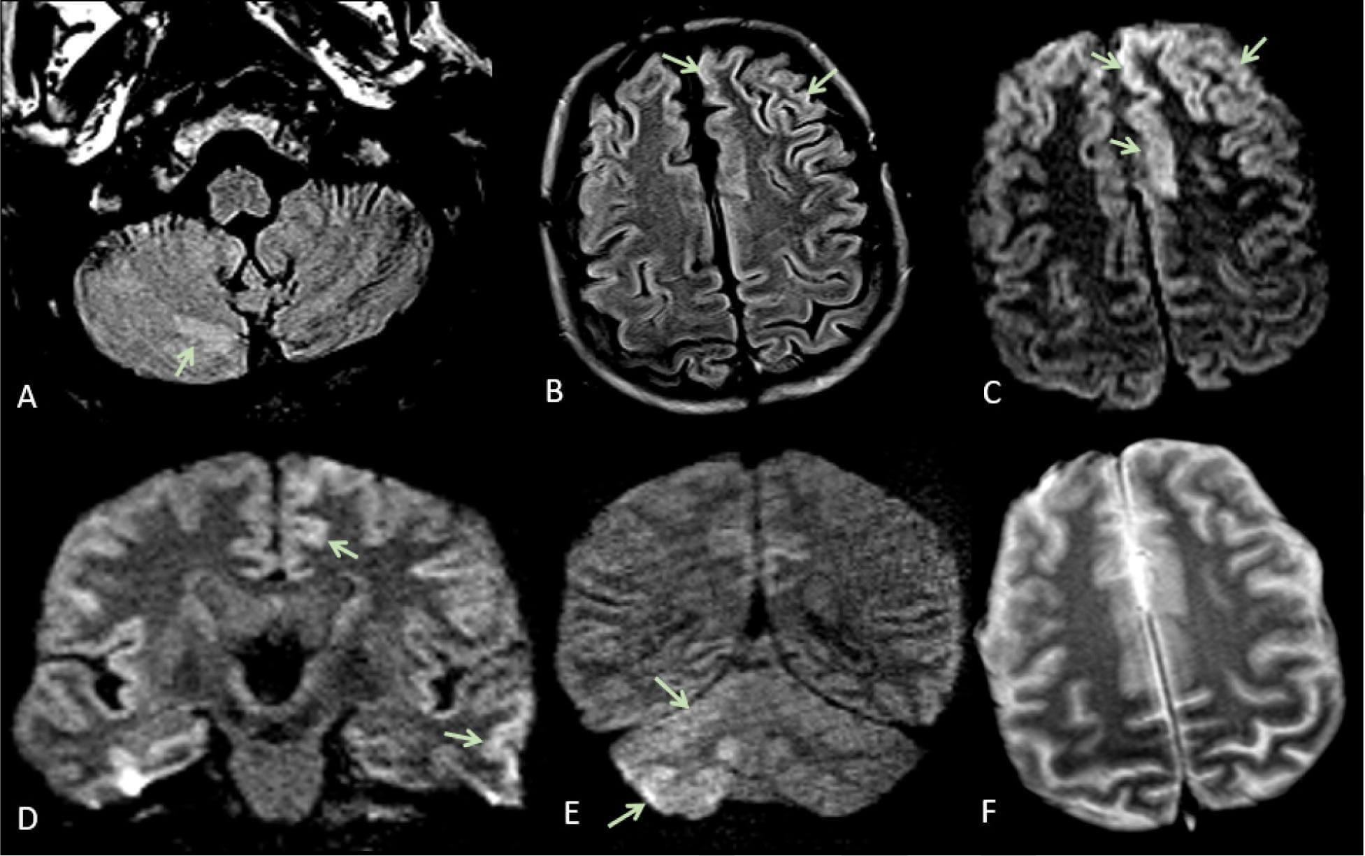
МРТ-снимки мозга пациента с подтвержденным COVID-19.
В ходе работы команда проанализировала мозговую ткань восьми человек, умерших от COVID-19, и 14 человек, умерших от других причин. Хотя в мозге умерших пациентов с COVID-19 наблюдалось значительное воспаление, в их мозговой ткани не было никаких признаков SARS-CoV-2, вируса, вызывающего COVID-19.
Читайте также: Cекретный аппарат из Пентагона фильтрует кровь больных коронавирусом
Авторы исследования также отмечают, что у многих пациентов с COVID-19, особенно у тех, кто столкнулся с неврологическими проблемами или у тех, кто госпитализирован, присутствуют нейровоспалительные маркеры, которые наблюдались у умерших от болезни
«Вирусная инфекция, по-видимому, вызывает воспалительные реакции во всем организме. Они, в свою очередь, могут спровоцировать нейровоспаление в мозге», – пишут исследователи.
Авторы научной работы также отмечают, что полученные результаты помогу объяснить многие неврологические и психиатрические симптомы, которые наблюдаются у пациентов с длительным ковидом. Работа опубликована в журнале Nature, в ней также говорится, что ученые расходятся во мнениях о том, присутствует ли вирус в мозге пациентов с COVID-19.



Новости, статьи и анонсы публикаций
Чат с читателямиСвободное общение и обсуждение материалов