Несколько месяцев назад мы рассказывали вам об эпидемии неизвестной болезни среди курильщиков электронных сигарет, зафиксированной на территории Соединенных Штатов Америки, а также о том, что повреждения легких пострадавших напоминают химические ожоги. На сегодняшний день количество больных превысило две тысячи человек, а количество смертельных случаев составляет по меньшей мере 40. Как сообщает Центр по контролю и профилактике заболеваний (ЦКЗ), исследователям удалось установить причину таинственной болезни. В образцах жидкости легких пациентов было обнаружено соединение под названием ацетат витамина Е. Но вопросов по-прежнему много.

Курение как электронных, так и обычных сигарет не сделает вас здоровым и счастливым
Что известно о таинственной болезни?
Первые единичные случаи загадочной болезни пациентов были зафиксированы в Милуоки (Висконсин, США). Пациенты жаловались на одышку, боль в груди и тошноту, а врачи обнаружили жидкость в легких пострадавших. Состояние некоторых больных было настолько тяжелым, что они попали в реанимацию. На данный момент в Висконсине насчитывается порядка 87 подтвержденных случаев. Как сообщает международное информационное агентство Associated Press, в национальном масштабе дела обстоят еще хуже: заболели уже более 2000 человек, а умерли 40. Реакция на растущую эпидемию была незамедлительной, так как агентства здравоохранения сделали все возможное, чтобы люди избегали всех видов электронных сигарет. При этом события развивались стремительно и никто не знал, чего ожидать. Ситуация пугала всех, особенно после того, как выяснилось, что повреждения легких у больных напоминают повреждения от химических ожогов.

На фото подросток, который впал в кому в результате таинственной болезни. Источник: издание The Sun
Дальнейшие исследования выявили связь между курением жидкости с ТГК через электронные сигареты и таинственной болезнью. Напомним, что ТГК — это психоактивный ингредиент марихуаны. Ученые выяснили, что картриджи для электронных сигарет на черном рынке, вероятно, были заполнены маслами ТГК, которые часто смешивают с химическими веществами, такими как ацетат витамина Е. Еще раньше было известно о наличии тяжелых металлов в жидкости для вейпинга. Но дело не только в нелегальных картриджах. Многие пациенты сообщали о том, что курили жидкости для электронных сигарет, в которых содержался только никотин.
Не забудьте подписаться на наш новостной канал в Telegram, чтобы читать последние новости из мира популярной науки
Тайна болезни по-прежнему не раскрыта
Соединение под названием ацетат витамина Е было обнаружено во всех 29 образцах жидкости легких, полученных от пациентов. ЦКЗ сообщил изданию The Washington Post, что исследователи искали широкий спектр других токсинов и опасных соединений, однако не нашли ничего в этих конкретных образцах. Отметим, что впервые ацетат витамина Е был идентифицирован как возможная причина болезни еще в сентябре. Несмотря на то, что состав жидкости ТГК на черном рынке считается безопасным для употребления, ученые плохо понимают, какой вред здоровью человека способен нанести испаренный ацетат витамина Е при вдыхании. Однако данное соединение не служит окончательным объяснением таинственной болезни. Тем не менее, даже если на состояние курильщиков действуют другие факторы, знание о том, какие проблемы со здоровьем может вызвать вдыхание соединения ацетата витамина Е может помочь предотвратить дальнейшее распространение вспышки смертельной болезни.

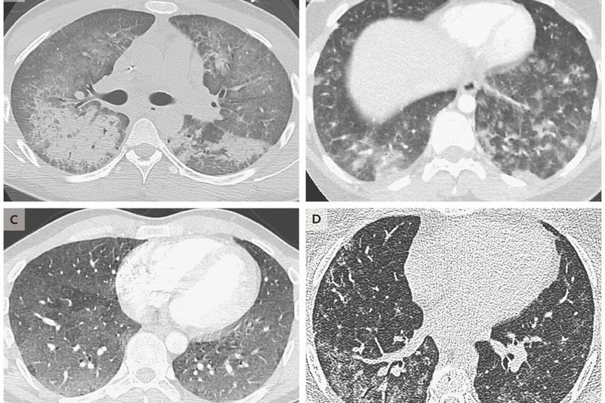
Вот так выглядят поврежденные ткани легких пациентов
На нашем канале в Яндекс.Дзен вы найдете еще больше информации о вреде курения и пользе здорового образа жизни
Отметим, что по данным Всемирной организации здравоохранения (ВОЗ), болезни, вызванные курением ежегодно уносят жизни более семи миллионов человек. Как недавно заявил генеральных директор ВОЗ, курение способствует нищете и снижению экономической продуктивности. И если о вреде для здоровья от курения обычных сигарет врачам и ученым все досконально известно, то курение электронных сигарет, особенно в юном возрасте, чревато серьезными последствиями, о которых мы с вами пока что не знаем.



Новости, статьи и анонсы публикаций
Чат с читателямиСвободное общение и обсуждение материалов